Flyer

Archives in Cancer Research

  • ISSN: 2254-6081
  • Journal h-index: 14
  • Journal CiteScore: 3.77
  • Journal Impact Factor: 4.09
  • Average acceptance to publication time (5-7 days)
  • Average article processing time (30-45 days) Less than 5 volumes 30 days
    8 - 9 volumes 40 days
    10 and more volumes 45 days
Awards Nomination 20+ Million Readerbase
Indexed In
  • China National Knowledge Infrastructure (CNKI)
  • CiteFactor
  • OCLC- WorldCat
  • Publons
  • Geneva Foundation for Medical Education and Research
  • Euro Pub
  • Google Scholar
  • J-Gate
  • Secret Search Engine Labs
  • International Committee of Medical Journal Editors (ICMJE)
  • Zenodo
Share This Page

Case Blog - (2015) Volume 3, Issue 2

A Fatal High Risk Medulloblastoma with Drop Metastasis to the Spine during Chemotherapy and Radiation

Divya Arora1* and Adi Singh2
  1. Department of Radiation Oncology, Baylor Scott and White Hospital, USA
  2. Windsor University School of Medicine, Brighton's Estate, St. Kitts, West Indies
Corresponding Author: Divya Arora, Baylor Scott and White Hospital, Department of Radiation Oncology 2401, South 31st Street, Temple, TX 76508, USA,Tel: 254-724-7091,E-mail: arorad86@gmail.com
Related article at Pubmed, Scholar Google
Visit for more related articles at Archives in Cancer Research

Abstract

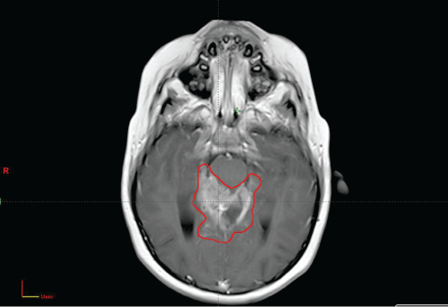
A 9 year old patient who initially presented with headaches was found to have a high risk medulloblastoma of the cerebellar vermis. He presented status post craniotomy and subtotal resection. The patient developed posterior fossa syndrome with ataxia, dysmetria, and cerebellar mutism. He underwent craniospinal radiation therapy with concurrent vincristine. During radiation, he presented with worsening headaches and was found to have drop metastasis in the spine with increased residual tumor in the posterior fossa. This was confirmed via MRI of the brain, thoracic spine, and lumbar spine. He continued radiation to a total dose of 36 Gray to the whole brain and spine with a boost to the posterior fossa. He was started on maintenance therapy per ACNS0332 protocol (without isoretinoin). After three months of radiation he showed response to therapy on repeat images. Two months later, he presented with worsening headaches, emesis, watery diarrhea and colicky abdominal pain. Imaging at this time revealed leptomeningeal spread of his medulloblastoma with involvement of the cervical, thoracic and lumbar spine. Brain MRI showed leptomeningeal disease with intraventricular carcinomatosis with extension into the left caudate and periventricular white matter. After progression was confirmed, the patient’s family elected for home hospice. One week later, the patient was deceased. MRI

References Chinese Food Recipes Blog | Thai Food Recipes French Food Recipes Indian Food Recipes Blog | Casino Sites in South Africa Italian Food Recipes Blog | Best Betting Sites in India Japanese Food Recipes Blog - Find Lawyer in Florida Korean Food Recipes Blog | Best Betting Sites in Turkey Mexican Food Recipes Blog | Casino Sites in Argentina Blog | Best Betting Sites in Canada Turkish Food Recipes Blog | Fan Tokens Info Vietnamese Food Recipes Blog | Engine Technologies Articles Yacht Charter in UAE Blog | All About Digital Coins
A 9 year old patient who initially presented with headaches was found to have a high risk medulloblastoma of the cerebellar vermis. He presented status post craniotomy and subtotal resection. The patient developed posterior fossa syndrome with ataxia, dysmetria, and cerebellar mutism. He underwent craniospinal radiation therapy with concurrent vincristine. During radiation, he presented with worsening headaches and was found to have drop metastasis in the spine with increased residual tumor in the posterior fossa. This was confirmed via MRI of the brain, thoracic spine, and lumbar spine. He continued radiation to a total dose of 36 Gray to the whole brain and spine with a boost to the posterior fossa. He was started on maintenance therapy per ACNS0332 protocol (without isoretinoin). After three months of radiation he showed response to therapy on repeat images. Two months later, he presented with worsening headaches, emesis, watery diarrhea and colicky abdominal pain. Imaging at this time revealed leptomeningeal spread of his medulloblastoma with involvement of the cervical, thoracic and lumbar spine. Brain MRI showed leptomeningeal disease with intraventricular carcinomatosis with extension into the left caudate and periventricular white matter. After progression was confirmed, the patient’s family elected for home hospice. One week later, the patient was deceased.
MRI Brain on Initial Presesentation with Gross Tumor Volume (GTV) Contoured for Radiation Planning.
image
MRI Brain showing interval response two months after chemotherapy and craniospinal radiation (36 Gy).
image
MRI Brain at time of progression five months after radiation.
image
MRI Thoracic spine at initial presentation showing no evidence of metastasis.
image
MRI Thoracic spine one month later with drop metastasis while on craniospinal radiation.
6599